Los informes diarios sobre el estado de ánimo revelan lo que los cuestionarios tradicionales pasan por alto: los probióticos pueden aliviar las emociones negativas en personas sanas, lo que abre nuevas vías para estrategias preventivas de salud mental.
por Tarun Sai Lomte | Revisado por Susha Cheriyedath, M.Sc.

En un estudio reciente publicado en la revista npj Mental Health Research , los investigadores sugieren que los probióticos pueden reducir el estado de ánimo negativo diario en individuos sanos a lo largo del tiempo, aunque este efecto no fue captado por cuestionarios psicológicos estándar.
Encontrar maneras de mejorar la salud mental y prevenir la aparición de síntomas psicológicos se ha vuelto cada vez más difícil. A pesar de los avances en neurociencia, psicología y psiquiatría , existe una necesidad apremiante de intervenciones novedosas y efectivas, incluyendo terapias conductuales, estimulación neuronal, suplementos nutricionales y farmacoterapias. Investigaciones han demostrado que la comunidad microbiana intestinal puede influir en el desarrollo cerebral, el comportamiento y la neuroquímica.
Estudios han demostrado que roedores que reciben microbiota intestinal de humanos con depresión presentan cambios similares a la depresión, tanto a nivel conductual como fisiológico. Diversos estudios en humanos han reportado que los probióticos pueden mejorar los síntomas de ansiedad, estrés y depresión. Sin embargo, aunque algunos metaanálisis reportan efectos beneficiosos, los resultados siguen siendo inconsistentes, particularmente en poblaciones no clínicas.
Acerca del estudio
En el presente estudio, los investigadores evaluaron los efectos de los probióticos en la regulación emocional. Se consideró elegibles a quienes tenían un índice de masa corporal (IMC) de 18 a 30 kg/m², no habían tomado probióticos ni antibióticos en los últimos tres meses o no tomaban ningún medicamento, excepto anticonceptivos hormonales para mujeres. Se excluyó a quienes consumían drogas más de una vez al mes o consumían más de 20 unidades de alcohol a la semana.
Además, se excluyó a los participantes con enfermedad gastrointestinal, hepática o renal, trastorno o trauma del sistema nervioso central (SNC), trastorno psiquiátrico o psicológico, alergia o hipersensibilidad a nutrientes (p. ej., soja, gluten), o que habían participado en programas dietéticos en los últimos tres meses. Los participantes fueron asignados aleatoriamente a tomar probióticos o un placebo durante cuatro semanas.
Los probióticos se suministraron en polvo liofilizado con nueve cepas bacterianas: Lactococcus lactis W19 y W58, Ligilactobacillus salivarius W24, Lacticaseibacillus casei W56, Levilactobacillus brevis W63, Lactobacillus acidophilus W37, Bifidobacterium lactis W51 y W52, y B. bifidum W23. El placebo consistió en polvo liofilizado de maltodextrinas y almidón de maíz. Además, los participantes completaron varios cuestionarios comunes sobre regulación emocional antes y después de la intervención.
Estos incluyeron la Escala de depresión del Centro de estudios epidemiológicos (CES-D), la Escala de afecto positivo y negativo (PANAS), el Cuestionario de agresión de Buss-Perry (BPAQ), la Escala de reactividad emocional, el Cuestionario de alexitimia de Bermond-Vorst (BVAQ), el Cuestionario de preocupación de Penn State (PSWQ), la Evaluación multidimensional de la conciencia interoceptiva (MAIA), la Escala de estrés percibido (PSS) y el Índice de sensibilidad a la depresión de Leiden revisado (LEIDS-R).
La tarea de reconocimiento de expresiones faciales (FERT) analizó la precisión en la identificación de emociones, y la tarea de sondeo evaluó la atención selectiva para las expresiones faciales emocionales. Los participantes también informaron diariamente sobre las características de sus heces y su estado de ánimo. Las diferencias entre grupos se evaluaron mediante la prueba de rangos con signo de Wilcoxon o pruebas t de dos muestras. Un análisis exploratorio determinó si las puntuaciones del cuestionario previo a la intervención podían predecir qué individuos responderían mejor a los probióticos.
Recomendaciones
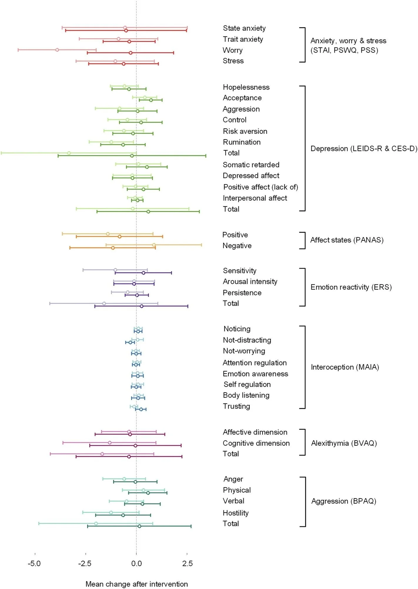
El estudio asignó a 44 adultos sanos a cada grupo. Ambos grupos presentaban características similares: los sujetos tenían 22,3 años y un IMC de 23 kg/m². Los cuestionarios aportaron poca evidencia de que la regulación emocional cambiara significativamente como resultado de la intervención. Las puntuaciones del PSWQ disminuyeron después de la intervención en ambos grupos; sin embargo, solo los participantes que recibieron placebo mostraron una disminución significativa de la preocupación.

El grupo probiótico (color más oscuro) se muestra debajo del grupo placebo (color más claro) y las barras de error representan el intervalo de confianza del 95 % del cambio medio.
El grupo de probióticos obtuvo una puntuación más baja en la subescala de no distracción de MAIA que el grupo placebo. Esto significó que el grupo de probióticos tuvo una mayor tendencia a distraerse por sensaciones de malestar o dolor después de la intervención.
Además, no se observó ningún efecto del tratamiento sobre la frecuencia/molestias intestinales ni sobre la escala de heces de Bristol. No se observaron diferencias entre los grupos en la prueba de puntos.
En el caso de FERT, la intensidad de las emociones predijo la precisión de reconocimiento, que también varió según el tipo de expresión emocional. No obstante, la sesión tuvo un efecto principal: los sujetos mostraron mayor precisión en la sesión posterior a la intervención. Se observó una interacción ligeramente significativa entre la sesión y el grupo, de modo que el grupo de probióticos mejoró ligeramente la precisión de reconocimiento tras la intervención.
Además, el grupo de probióticos mostró una reducción del estado de ánimo negativo, especialmente después de dos semanas, según lo medido mediante autoinformes diarios sobre el estado de ánimo, que captaron cambios no detectados por los cuestionarios tradicionales. El análisis exploratorio reveló cierta correlación entre las puntuaciones del cuestionario previo a la intervención y el cambio en los sentimientos negativos diarios en quienes recibieron probióticos. Cabe destacar que solo la subescala de aversión al riesgo del LEIDS-R predijo significativamente la mejora del estado de ánimo negativo.
Conclusiones
En conjunto, no se observó evidencia de que los probióticos fueran beneficiosos en las mediciones emocionales del cuestionario; sin embargo, se asociaron con una reducción del estado de ánimo negativo a lo largo del tiempo al evaluarse mediante el seguimiento diario del estado de ánimo. A pesar del uso de varios cuestionarios, las únicas diferencias observadas después de la intervención fueron las puntuaciones más bajas del grupo de probióticos en una subescala de MAIA y del grupo placebo en el PSWQ.
Los autores del estudio enfatizan que los cuestionarios pre y postintervención podrían no ser lo suficientemente sensibles para detectar cambios emocionales sutiles en personas sanas, mientras que el seguimiento diario del estado de ánimo proporciona una evaluación más matizada y con mayor riqueza temporal. Cabe destacar que las personas con mayor aversión al riesgo podrían mostrar una mayor reducción del estado de ánimo negativo con los probióticos.Referencia de la revista:
- Los probióticos reducen el estado de ánimo negativo con el tiempo: el valor de los autoinformes diarios para detectar efectos. Johnson KVA, Steenbergen L. npj Mental Health Research, 2025, DOI: 10.1038/s44184-025-00123-z, https://www.nature.com/articles/s44184-025-00123-z
El descubrimiento de células dendríticas especiales arroja luz sobre la prevención de las alergias alimentarias
El sistema inmunitario debe ser capaz de atacar rápidamente a invasores como los virus, ignorando al mismo tiempo estímulos inofensivos, ya que pueden producirse alergias. Se sabe que las células inmunitarias ignoran o “toleran” moléculas presentes en las propias células sanas del cuerpo, por ejemplo, así como sustancias externas inofensivas, como los alimentos. No se ha aclarado cómo el sistema logra esto último.
por NYU Langone Health / Facultad de Medicina Grossman de NYU
Ahora, un nuevo estudio dirigido por investigadores de NYU Langone Health ha revelado que un grupo especial de células intestinales inhibe la respuesta inmunitaria causada por la exposición a las proteínas alimentarias. Estas células, llamadas “células dendríticas tolerogénicas”, permiten que los alimentos pasen por el organismo sin desencadenar una reacción inmunitaria, a menos que su mal funcionamiento provoque alergias.
También se descubrió que las células requerían las proteínas Receptor Huérfano Relacionado con el Ácido Retinoico-gamma-t (RORγt) y el Dominio PR 16 (Prdm16) para proteger eficazmente las proteínas toleradas de la irrupción de células inmunitarias y proteínas encargadas de destruir células extrañas ( inflamación ). Sin células dendríticas tolerogénicas funcionando adecuadamente, los ratones del estudio fueron más propensos a desarrollar alergias alimentarias y asma.
Trabajos previos del equipo habían revelado que estas mismas células controlan la tolerancia inmunitaria a las bacterias intestinales beneficiosas, que ayudan a los humanos a digerir los alimentos y a controlar las funciones de múltiples sistemas orgánicos. Sin embargo, en ese momento, los investigadores sabían poco sobre su identidad o si estas células controlaban la tolerancia a algún otro componente.
Nuestro estudio demuestra que las células dendríticas que expresan RORγt son componentes clave en la respuesta inmunorreguladora que previene las alergias alimentarias”.
Dan Littman, MD, PhD, autor principal del estudio, profesor Helen L. y Martin S. Kimmel de Inmunología Molecular en el Departamento de Patología y profesor en el Departamento de Biología Celular de la Facultad de Medicina Grossman de la Universidad de Nueva York.
“Este descubrimiento agrega evidencia a nuestro trabajo anterior que muestra que estas células también mantienen la paz con el vasto microbioma , la mezcla de microbios que habita nuestro cuerpo, y pueden ser importantes para prevenir enfermedades autoinmunes como la enfermedad de Crohn”, dijo Littman, quien también es investigador del Instituto Médico Howard Hughes.
Al analizar los genes y las proteínas que expresan estas células y compararlos con tipos celulares bien conocidos, los investigadores concluyeron que se trata de un tipo de célula inmunitaria llamada célula dendrítica. Normalmente, las células dendríticas presentan pequeños fragmentos de material biológico (conocidos como antígenos) para que otras células inmunitarias, llamadas células T, los detecten. Esto programa a la célula T para que lance un ataque inmunitario la próxima vez que se encuentre con el antígeno.
Pero los investigadores demostraron que cuando las células dendríticas tolerogénicas presentan antígenos de alimentos o microbios beneficiosos a las células T, estas se vuelven antiinflamatorias o “reguladoras”. Esto significa que la próxima vez que la célula T se encuentra con el antígeno, en lugar de atacar, suprimirá la inflamación cercana.
Publicado en la revista Nature online el 14 de abril, el estudio demostró que en ratones sin células dendríticas tolerogénicas, había menos linfocitos T reguladores capaces de prevenir la inflamación causada por antígenos alimentarios o microbianos. Estos ratones también presentaban más linfocitos T inflamatorios que causaban alergias e inflamación al ser expuestos a dichos antígenos.
Adulteración de alimentos en la industria de la miel: libro electrónico Aprenda cómo probar y garantizar la autenticidad de la miel en toda la cadena de suministro con este libro electrónico gratuito. Descargue la última edición
Otro hallazgo clave del artículo fue que, al analizar tejido intestinal humano y conjuntos de datos de secuenciación públicos, los investigadores encontraron los equivalentes humanos de las células dendríticas tolerogénicas. Littman afirma que aún no está claro cuán abundantes son estas células en el cuerpo humano ni si participan en otras formas de tolerancia inmunitaria fuera del intestino. Sin embargo, estas preguntas deberían ser más fáciles de responder gracias a la exhaustividad con la que los investigadores identificaron las células en el nuevo estudio.
“Si nuevos experimentos resultan exitosos, nuestros hallazgos podrían conducir a formas innovadoras de tratar las alergias alimentarias”, afirmó Littman. “Por ejemplo, si alguien tiene alergia al cacahuete, quizás podamos usar células dendríticas tolerogénicas para ayudar a crear más linfocitos T reguladores y así suprimir la respuesta alérgica a las moléculas del cacahuete”.
En el futuro, dijo Littman, los investigadores también quieren comprender más profundamente cómo y dónde se desarrollan las células dendríticas tolerogénicas en el cuerpo y qué tipos de señales necesitan recibir para realizar su función.
Este estudio se financió gracias a las subvenciones P30CA016087, R01AI158687, T32AL100853, F32AI181496 y K08CA283272 de los Institutos Nacionales de Salud.
Además de Littman, otros investigadores de NYU Langone involucrados en este estudio incluyen a los coautores principales Liuhui Fu, Rabi Upadhyay, Maria Pokrovskii; y los coautores Francis Chen, Gabriela Romero-Meza, Adam Griesemer.
Littman es cofundador de Vendanta Biosciences e ImmunAI, y forma parte de los consejos asesores de IMIDomics, Sonoma Biotherapeutics, NILO Therapeutics y Evommune, y de la junta directiva de Pfizer Inc.
Ninguno de estos grupos participó en el presente estudio. Los términos y condiciones de estas relaciones se gestionan de acuerdo con las políticas y procedimientos de NYU Langone Health.Fuente:
NYU Langone Health / Facultad de Medicina Grossman de NYU
Referencia de la revista:
Fu, L., et al . (2025). Las células presentadoras de antígenos dependientes de Prdm16 inducen tolerancia a los antígenos intestinales. Nature . doi.org/10.1038/s41586-025-08982-4
